Cas clinique : suivi de l’évolution d’une boiterie liée à une tendinopathie via les capteurs Tendiboots®
Présentation du cas clinique

Nom : Kara
Age : 6 ans
Sexe : femelle stérilisée
Race : Border Collie
Activités : agility (1 à 2 entraînements /semaine) et conduite de troupeau (2 fois /mois)
Sa propriétaire rapporte que Kara n'a jamais montré de signes de douleur ou de boiterie, ni à l'entraînement, ni en compétition. Le 24 février 2024, suite à une compétition d'agility, Kara a présenté une boiterie de l’antérieur droit à froid dans la soirée.
Le lendemain, la boiterie avait disparu. Le membre était indolore au toucher. La locomotion était bonne et Kara a donc pu participer au deuxième jour de compétition. La propriétaire avait alors indiqué avoir pensé à une hyperlactatémie.
La chienne allait bien au soir de ce deuxième jour de compétition. Les entraînements se sont poursuivis jusqu'au 13 mars 2024 où, après une séance, Kara a présenté une forte boiterie avec suppression d’appui en rentrant chez elle.
Prise en charge vétérinaire
Kara a été vue une première fois par un vétérinaire le 15 mars 2024. Après un examen clinique et une série de radiographies, des anti-inflammatoires et du repos lui ont été prescrits suite à un diagnostic de traumatisme du cou survenu à l'entraînement.

Le 22 mars, après une semaine de repos, Kara a eu un rendez-vous de contrôle chez ce même vétérinaire. Aucune amélioration clinique n’a été observée par la propriétaire. La boiterie survient toujours à froid et s’estompe à mesure que la chienne marche.
Le vétérinaire a alors demandé de poursuivre le traitement anti-inflammatoire et de rajouter des compléments alimentaires à base de chondroïtine pour le soutien articulaire. Un second contrôle le 12 avril 2024 motive le vétérinaire à faire passer un scanner à Kara, face à une absence d’amélioration. Un test de dépistage de la leishmaniose a également été effectué et s’est avéré négatif.
Un traitement à base de cortisone a démarré le 18 avril 2024. Durant le traitement, la propriétaire a rapporté, pour la première fois, une amélioration de la boiterie et Kara marchait presque correctement.
Néanmoins, quelques jours après la fin du traitement, la boiterie est à nouveau revenue, tantôt au niveau de l’antérieur droit, tantôt au niveau de l’antérieur gauche. Un contrôle vétérinaire en mai a permis de mettre en évidence une tendinite et une inflammation du muscle supra-épineux. Le vétérinaire a alors prescrit des infiltrations de l’épaule.
Poursuite de la prise en charge
La clinique vétérinaire à San Sepulcro (Italie) a poursuivi la prise en charge de Kara. La propriétaire avait pris soin de prendre des vidéos tout au long du suivi de sa chienne depuis l’apparition de la boiterie, y compris durant les différentes étapes du traitement.
Le Docteur Vétérinaire Lidano a alors analysé ces vidéos en lien avec le dossier médical de Kara comportant les résultats des examens complémentaires. Une observation de la locomotion de Kara a tout d’abord été effectuée durant la première consultation au sein de la salle d’examen, notamment sa condition physique, ses mouvements et la répartition de son poids durant ses déplacements.
Ensuite, une observation de sa locomotion en extérieur en laisse a été réalisée avec la propriétaire. L’objectif était de corréler le physique du chien avec le sport qu’il pratique pour déterminer les parties du corps les plus à risque de blessures. Les angles ont été analysés. La figure ci-dessous présente des angles normaux chez un chien.

Les chiens dont l'angle scapulaire est plus grand ont tendance à avoir des muscles plus développés au niveau des épaules, notamment les muscles supra-épineux, infra-épineux et triceps, probablement parce que ces derniers soutiennent l’articulation de l’épaule lorsque le chien est debout.
Le vétérinaire indique que plus l’angle de l’omoplate est grand, moins les chiens souffrent de troubles articulaires, en particulier lors d’une réception avec les membres en extension. Les tendinopathies sont alors fréquemment observées au niveau des épaules chez les chiens sportifs ou très actifs. À l’examen clinique, chacun des muscles est soigneusement palpé et mobilisé. Le vétérinaire rapporte notamment une gêne à la palpation et à la flexion au niveau de l’épaule droite.
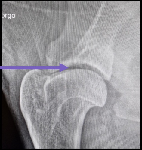
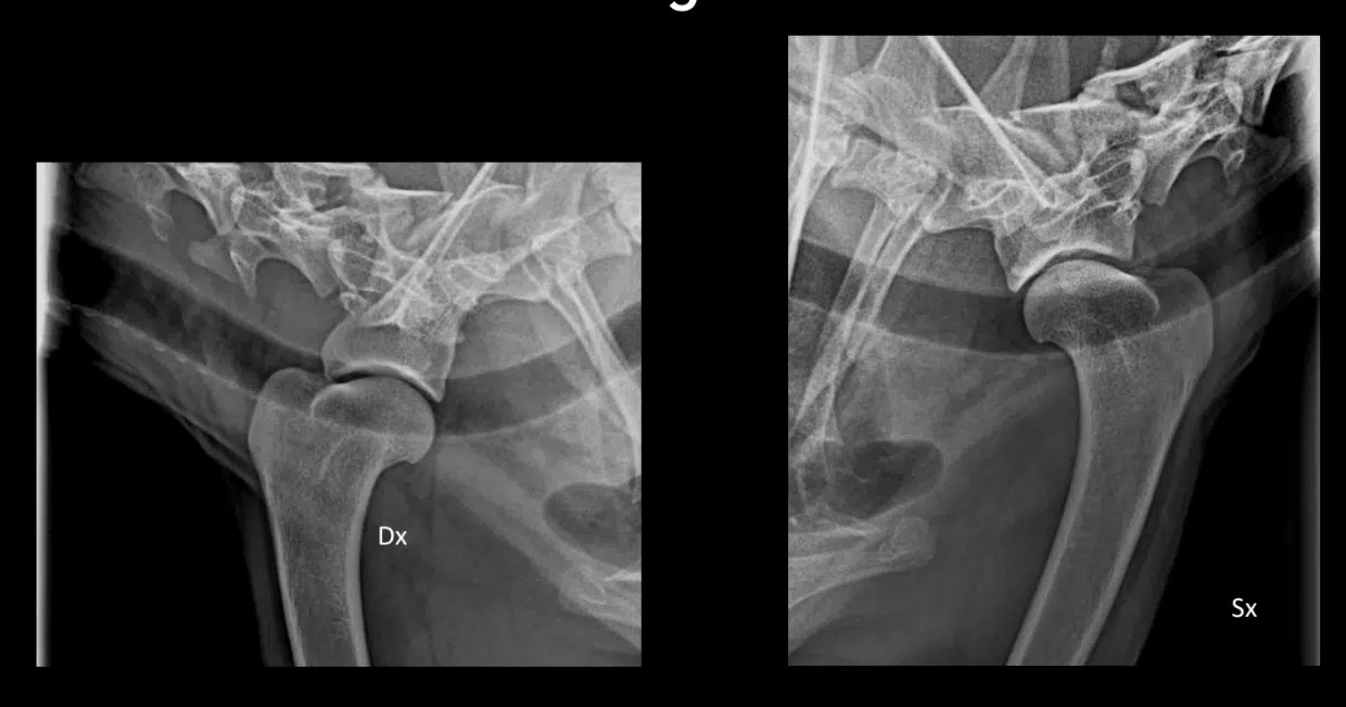
La locomotion est objectivée avec les différents paramètres mesurés à l’aide de l’outil Tendiboots™ Canine. Des examens radiographiques et échographiques ont également été effectués sur Kara.
![]() |
![]() |
![]() |
![]() |
Diagnostic et traitement
Un diagnostic de tendinopathie bilatérale du muscle supra-épineux a été posé pour Kara. Un traitement multimodal a alors été instauré. Il comprend des infiltrations locales à base de plasma riche en plaquettes (PRP), de la physiothérapie, des compléments alimentaires, des massages, une thérapie laser et une gestion au quotidien avec des exercices. Le PRP, qui contient notamment des facteurs de croissance, est effectivement particulièrement indiqué pour les blessures musculosquelettiques.

Les deux contrôles réalisés dans les semaines qui ont suivi le début du traitement ont mis en évidence une amélioration de la démarche de Kara grâce à l’utilisation des Tendiboots™ canine qui ont permis de faire une comparaison avec les résultats précédents. L’examen échographique a confirmé cette amélioration.
La première figure ci-dessous à gauche montre les résultats obtenus avec les Tendiboots™ canine lors de la première visite chez le Docteur Vétérinaire Lidano. La seconde figure à droite montre les résultats obtenus suite au contrôle effectué quelques semaines plus tard. Le paramètre d’impact au sol se rééquilibre lors du suivi de Kara (écart de 5,1 Newton entre les antérieurs à sa prise en charge, écart de 3,1 Newton entre les antérieurs lors de sa visite de contrôle.)
![]() |
![]() |
Pour conclure sur ce cas clinique, cet outil permet d’aider le vétérinaire dans la prise en charge d’un chien avec un trouble locomoteur, notamment pour objectiver une boiterie et déterminer les paramètres sur lesquels se concentrer. Les Tendiboots™ canine permettent également d’effectuer un suivi objectif en comparant ces paramètres obtenus pour constater une amélioration ou non et ainsi adapter le plan de traitement.
.png)
Partager
Twitter
Pinterest
LinkedIn





Laissez un commentaire
Login to post comments